Presentamos el sistema Invisalign® con Avance Mandibular y bloques oclusales
Los primeros aligners transparentes de Align Technology con bloques sólidos —para reducir al mínimo las posibilidades de que se aplasten al apretar los dientes—, diseñados para corregir la maloclusión de clase II y alinear los dientes simultáneamente.




Descubra un nuevo enfoque para el tratamiento de Clase II


EL SISTEMA INVISALIGN® REVOLUCIONA EL TRATAMIENTO DE MALOCLUSIONES DE CLASE II EN PACIENTES EN EDAD DE CRECIMIENTO
Tratamiento eficiente.
Mayor comodidad1
y cumplimiento del paciente2.
Movimiento dental predecible.
El sistema Invisalign con Avance Mandibular y bloques oclusales permite tratar las maloclusiones de clase II y alinear los dientes simultáneamente sin tener que utilizar numerosos dispositivos. Se fabrica con SmartTrack™, un material de desarrollo propio más predecible y cómodo que los que se usan en los dispositivos tradicionales1, lo que ayuda a que los pacientes cumplan con la cantidad de tiempo que tienen que llevar puestos los aligners, algo fundamental para alcanzar con éxito los resultados deseados2.




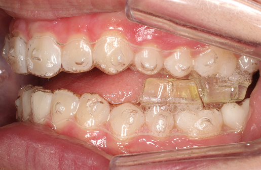
Cómo funcionan los bloques oclusales
Los aligners transparentes Invisalign con bloques integrados se colocan en la superficie oclusal.
Cuando el paciente ocluye en posición adelantada, los bloques oclusales dotan al aligner del engranaje necesario para poder desplazar la mandíbula hacia delante y mantener su posición.
Se trata de un sistema que desplaza la mandíbula hacia adelante a la vez que alinea los dientes y trata la maloclusión de clase II, incluso en casos severos de mordida profunda.




Caso de uso clínico
El sistema Invisalign® con Avance Mandibular y bloques oclusales es un tratamiento innovador diseñado para tratar todo tipo de maloclusión de clase II.
Pacientes que están dando el estirón (10-16 años)
Maloclusiones retrognáticas de clase II.
Sobremordida profunda de <7 mm
Criterios de exclusión de pacientes:
Los primeros molares no están completamente erupcionados
Falta algún segundo premolar superior o molar temporal
Falta cualquier premolar inferior o molar temporal






